四川新闻网成都1月10日讯(锁千程) 记者从四川省干细胞库获悉,英国《转化医学杂志》(Journal of Translational Medicine)上发表了一篇题为“脐带间充质干细胞治疗多发性硬化症的临床可行性”研究,研究结果显示,脐带间充质干细胞能够持续改善多发性硬化症患者的残疾水平和脑损伤,且十分安全。
多发性硬化症是一种攻击中枢神经系统的慢性疾病,发作持续数月至数年。最终的脱髓鞘和轴突退化可导致运动、感觉、平衡和认知水平的衰弱退化,造成患者残疾并引发严重并发症,对生活质量的负面影响非常巨大。
目前还没有治愈多发性硬化症的方法,82%的患者都在使用药物治疗,如用于暂时性发作的类固醇、疾病修饰药物以及针对特定症状的药物。尽管药物治疗能够减少发作频率和减缓疾病进展,但它们不能修复神经细胞或髓鞘(神经纤维周围的保护层)的损伤。
1968年,德国科学家Frieden Stein和他的同事在骨髓中发现了间充质干细胞(MSCs),后来的研究者陆续发现间充质干细胞广泛存在于全身多种组织中,可在体外培养扩增,并能在特定条件下分化为包括神经细胞、成骨细胞、软骨细胞、肌肉细胞、脂肪细胞在内的多组织系统的细胞,还在造血、免疫炎症反应、血管新生等人体重要功能中起重要调节作用。
尤其是脐带组织来源的间充质干细胞,与其他来源相比,可获取的细胞数量多、增殖能力强、免疫调节作用大,分泌细胞生长因子的总量也非常高,便于扩增和传代,同时又没有配型、排异等问题,极其适合用于临床研究和应用。

脐带间充质干细胞(四川省干细胞库供图)
以往不同的临床研究结果已经表明,间充质干细胞可以安全地治疗某些免疫和炎症性疾病,其中就包括多发性硬化症,而且有的研究小组已证明,间充质干细胞可以改善认知和运动功能。这次巴拿马干细胞研究所的研究人员完成了为期一年的1/2期临床试验(NCT02034188),则测试了脐带间充质干细胞治疗多发性硬化症的有效性和安全性。
试验包括20名平均年龄41岁的多发性硬化症患者,60%为女性。其中15名受试者有复发缓解型多发性硬化症,4名为原发性进展型多发性硬化症,1名为继发性进展型多发性硬化症。他们的疾病持续时间平均7.7年。
研究人员为这些受试者在7天内静脉输注2×10˄7脐带间充质干细胞,分别在治疗开始时、治疗后1个月和治疗后1年进行治疗效果评估。评估包括磁共振成像(MRI)扫描、Kurtzke扩展残疾状态量表(EDSS)、Scripps神经功能评分量表、9孔PEG试验、25英尺步行试验和rand short form-36生活质量问卷等内容。
评估结果显示,除有轻微的头痛和疲劳外,患者未报告任何严重不良事件。治疗后1个月,患者的残疾水平、非显性手功能、平均步行时间、膀胱、肠道和性功能障碍改善最为明显,生活质量也有所提升。

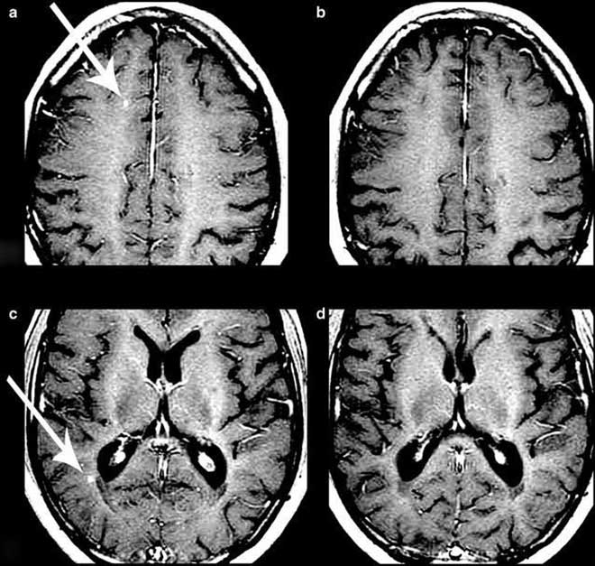
两位患者治疗前后磁共振成像的变化(四川省干细胞库提供)
治疗后一年的MRI扫描显示,18名评估患者中有15名无活动性病变,其中1名患者的脑部病变几乎完全消除,研究人员认为,“这是一个特别令人鼓舞的发现”。在这一年中,患者的残疾水平也逐渐获得改善,在没有外力帮助的情况下,步行和工作能力均有所提高。
研究人员写道:“脐带间充质干细胞1个月时产生的治疗效果,其中某些方面持续到1年后,与目前的多发性硬化症药物疗法形成鲜明对比,后者需要每天或每周服用。”与现有的多发性硬化症疗法相比,脐带间充质干细胞疗法的安全性又是另一个优势。这项创新疗法已入选2018年十大多发性硬化症研究新闻之一而受到患者的广泛关注。
四川新闻网首页